Telix Doses First Patient in European TLX250-CDx Trial
      
      
        
      
   
           
        
A Rare Case of Rhabdoid Pancreatic Carcinoma: Prolonged Disease-Free Survival Following Upfront Resection and Adjuvant Chemotherapy
      
      
        
      
   
           
        
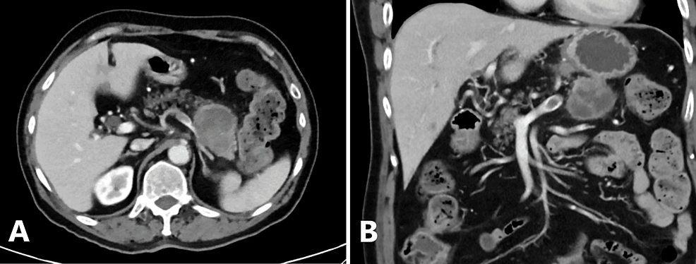
A Rare Case of Giant Cell Arteritis After the Administration of Checkpoint Inhibitor Therapy in a Metastatic Renal Cell Carcinoma Patient
      
      
        
      
   
           
        
Bellevue pastor Steve Gaines says cancer has spread to his lungs
      
      
        
      
   
           
        
Judge Frank Caprio announces pancreatic cancer diagnosis, requests prayers
      
      
        
      
   
           
        
UPDATE: Lawsuit dismissed against Bradley County schools
      
      
        
      
   
           
        
Protein Previously Implicated in Tumor Growth and Angiogenesis New Pancreatic Cancer Target
      
      
        
      
   
           
        
HDAC Inhibitors Help Reduce Severity of Pancreatic Cancer
      
      
        
      
   
           
        
Gladwin resident grateful for MyMichigan Coordinated Cancer Care
      
      
        
      
   
           
        
How drugs can target the thick “scar tissue” of pancreatic cancer - Salk Institute for Biological Studies