Unusual Presentation of Primary Pulmonary Sarcomatous Cancer With Brain Metastasis: A Case Report

1 year ago 81
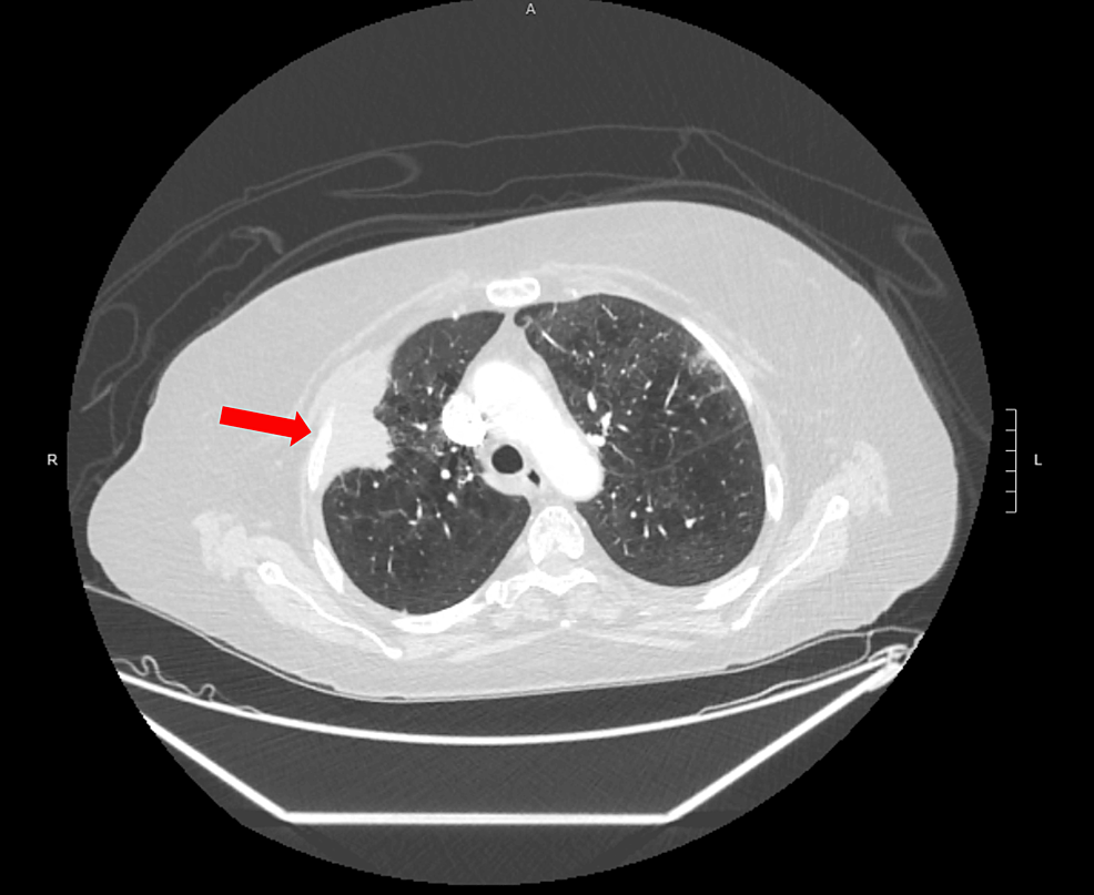
Pulmonary sarcomatous carcinoma is a rare subtype of non-small cell lung cancer (NSCLC). This cancer has very low survival rates primarily due to its aggressive nature and propensity for early s...
Read Entire Article